You’ve heard of finding a needle in a haystack. How about finding a gorilla in a lung? If your doctor can’t do it, it may mean medical malpractice.
Harvard researchers have found that 83% of radiologists—the people who review x-rays, CT scans, and MRIs—failed to find a gorilla hidden inside an X-ray image of a lung. The researchers put a tiny image of a gorilla on top of a lung scan and then asked radiologists to review the scan as they would any other, and look for anything out of the ordinary. The results showed that 83% of them couldn’t find the gorilla.
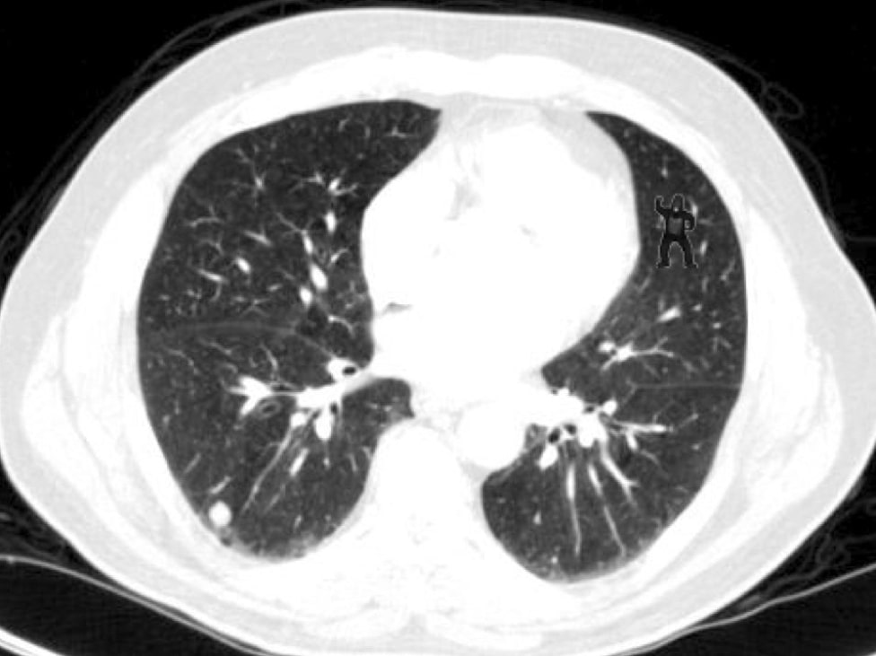
Here’s the image they were shown:

Did you see it? It’s not obvious to everyone, but the study dealt with professionals who are experts at scoping out even the smallest of irregularities. The gorilla, tacked on in the upper right side of the picture, is certainly something out of the ordinary.
What Does a Gorilla Have to Do With Your Lungs?
When it comes down to it, the study shows that radiologists miss things. Usually, they’re looking for specific things—fluid in the lungs, for example—and may miss something else entirely, like cancer. A radiologist would never actually be looking for a gorilla in someone’s lung, but it’s scary that they skipped over it completely.
This shows how a lot of misdiagnoses occur. In some cases, when doctors are looking for something specific they may completely miss something else —like a tumor— simply because they aren’t looking for it.
Missed Diagnoses Can Mean Life or Death
A doctor’s responsibility is to diagnose you properly. If doctors review the scan to look for something specific but fail to notice another obvious problem that’s staring right at them, then they are failing to review the scans correctly.
When an X-ray is reviewed, the doctor should be looking for anything that might be out of place. A missed diagnosis is a serious issue. In a lot of cases, catching a disease or problem early can help patients recover—and maybe even overcome—an illness quickly. If doctors are missing problems, they may be missing a life or death situation.
Have you been injured as a result of medical malpractice? Every Indianapolis medical malpractice lawyer at Christie Bell & Marshall has experience and can help you explore your options.
Call 317-488-5500 or complete a Free Case Evaluation form
